Mikrofotografie
2016 © Thomas GadeWas wir mit dem Auge am Mikroskop sehen, kann man auch fotografieren. Entweder muss dafür eine Kamera mit ihrem eigenen Objektiv anstelle des Auges in das Okular blicken oder man verwendet einen speziellen Fotoadapter mit integrierter Optik, an den ein Kameragehäuse montiert wird. Bei der Verbindung aus Kamera und Mikroskop erfolgt eine optische und mechanische Adaptierung.
Optische Adaptierung
Blickt man durch das Okular in ein Mikroskop, sieht man ein kreisrundes Bild. Beim Fotografieren durch ein Mikroskop wird jedoch ein rechteckiger Sensor belichtet. Zur Vermeidung von Randabschattungen durch den runden Bildrand, fotografiert man deshalb einen rechteckigen Ausschnitt, der im besten Fall so gewählt ist, dass der dunkle Rand gerade außerhalb des fotografierten Bildes liegt.
Wahl des Ausschnitts
Nur mit einer sehr guten Optik sieht man im Okular des Mikroskops ein Bild, das von der Mitte bis zum äußersten Bildrand scharf und ohne Farbsäume ist. In allen anderen Fällen ist die Bildqualität in der Mitte am höchsten und lässt qualitativ in einem mehr oder weniger breiten Bereich am Bildrand nach.
Aus diesem Grunde wählt man den zu fotografierenden Ausschnitt so, dass die Ecken des Rechtecks nicht ganz den Bildrand erreichen, damit die dort vorhandene mindere Bildqualität nicht auf dem Foto zu sehen ist.
![]() |
![]() |
|
Oben links: Volles Bild im Okular Oben rechts: Darstellung des korrekten Beschnitts des kreisrunden Bildes Unten rechts: Foto mit korrekter optischer Adaption |
![]() |
Kamera ohne eigenes Objektiv am Mikroskop
Zwischen einem Kameragehäuse (ohne Fotoobjektiv) und dem Mikroskopobjektiv befindet sich ein Projektiv, also ein spezielles Okular zur Optimierung des vom Objektiv geworfenen Bildes für eine Projektion auf eine ebene Fläche. Die Optik des Projektivs muss zum Objektiv passen. Man redet auch vom Fotookular.
Am Mikroskop werden Objektive verwendet, die je nach Korrekturgrad gekrümmte oder plane Bildfelder haben. Zudem gibt es achromatische Objektive mit schlechterer Farbkorrektur, also stärkeren Farbsäumen und vor allem zum Rand hin geringerer Schärfe, sowie apochromatische Objektive, die nicht dazu neigen.
Ein Projektiv soll die Abbildung verbessern, kann das aber nur, wenn es speziell auf den verwendeten Objektivtyp abgestimmt ist. In der Praxis wird man nicht immer optimale Kombinationen vorfinden; manche sind sogar schlecht.
Das gilt besonders dann, wenn die Hersteller das Objektiv und Okular als ein Gesamtsystem betrachten und die Korrektur starker Abbildungsfehler der Objektive durch die genau dazu passenden Okulare vornehmen. Alle Hersteller haben dies in mehr oder weniger starkem Maß praktiziert. Manchmal sind die verschiedenen optischen Systeme einander nicht unähnlich, so dass man Okulare und Objektive aus diesen Systemen miteinander vermischen kann. Es gibt aber auch solche, bei denen dies ganz erhebliche Verschlechterungen der Bildqualität bewirkt.
Mit großem Budget, kann man von guten Mikroskopherstellern maßgeschneiderte Systeme zusammenstellen lassen, die sehr gute Ergebnisse ermöglichen. Wer jedoch aus wirtschaftlichen Gründen eine Ausrüstung auf dem Gebrauchtmarkt erwirbt, sollte vorher in den einschlägigen Foren, oder noch besser auf Treffen der Mikroskopierer, Empfehlungen von Experten einholen und muss dabei auf ein Übermaß an Infos eingestellt sein, die zunächst mehr verwirren als helfen.
Kamera mit eigenem Objektiv
So wie das Auge in ein Okular blickt und ein gutes Bild sieht, ist dies auch mit einer Kamera mit eigenem Fotoobjektiv möglich. Soweit die Theorie. Das kann man mit einem Smartphone ausprobieren, welches im Abstand von rund 1 cm hinter das Okular gebracht wird und falls es einem gelingt, es ruhig in der richtigen Position zu halten, sieht man ein scharfes Abbild des kreisrunden Bildes so, wie man es auch mit dem Auge sieht. In diesem Fall fungiert das Objektiv der Kamera oder des Smartphones als Relaisoptik (relay lens).
Bei dieser Methode der Fotografie durch ein Mikroskop ist zunächst herauszufinden, welche Brennweite für die betreffende Sensorgröße passend ist, um die Größe des Ausschnitts optimal zu wählen.
Zudem darf das Objektiv nicht lang sein. Seine Blende sollte bei einer korrekten Positionierung der Kamera etwa so weit vom Okular entfernt sein wie die Iris des Auges beim Einblick. Diese Forderung können bei den populären Systemkameras mit APS-C Sensor nur ganz wenige Objektive erfüllen. Dazu gehören die sogenannten Pancakes von Canon und Pentax mit 40 mm Brennweite.
Brennweiten für verschiedene Sensorformate
| Sensorformat | Abmessungen | Brennweite | Objektive |
| CX Format | 8,8 x 13,2 mm | Nikkor 10-30 mm | |
| Four Thirds | 13 x 17,3 mm | Kit Zoomobjektiv | |
| APS-C / DX | 15 x 26 mm | 40 mm | Pentax oder Canon Pancake-Objektiv |
| Vollformat | 24x36 mm | 60 mm |
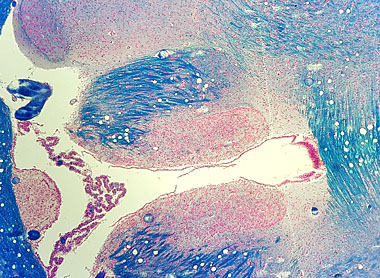
Wirkung verschiedener optischer Adaptionen
Beispiele am Zeiss Standard 16 mit achromatischem Zeiss 2,5x Objektiv. Es wurde mit einer Pentax K-5 II mit APC-S Sensor fotografiert.
![]() MF 4x Projektiv mit Zeiss Tubus 47 60 05 - 9901 und Zeiss Tubus 47 60 29. Der Bildrand ist unscharf. |
![]() Zeiss Kpl W 10x Okular mit Zeiss Tubus 47 60 05 - 9901 und Zeiss Tubus 47 60 29. Das Bild ist scharf, nur am äußeren Rand bricht die Qualität ein. |
![]() MF 4x Projektiv mit Pentax Mikroskopadapter. Der Bildrand ist unscharf und das Bildfeld ist eng begrenzt. |
![]() Zeiss Kpl W 10x Okular mit Pentax Adapter. Das Bild ist scharf und zeigt ein erstaunlich großes Bildfeld, das erst in den Bildecken qualitativ einbricht. |
![]() Zeiss Standard 16, Trinokular, Zeiss Kpl W 10x Okular im Zeiss Tubus. Nicht optimal für einen APS-C Sensor, aber gut für den Vollformat Sensor. |
![]() Zeiss Standard 16, Trinokular, Zeiss Kpl W 10x Okular im Pentax Adapter. Sehr gute Kombination für den APS-C Sensor |
Mechanische Adaptierung
Wie montiert man eine Kamera an ein Mikroskop? Die Vielzahl verschiedener Kameras und Mikroskope steht einer einfachen Antwort entgegen.Wer mit dem entsprechenden Budget bei Zeiss oder Leica bestellt, erhält für alle Kombinationen optimale Lösungen. Für viele Hobby-Mikroskopierer entfällt diese Möglichkeit jedoch aus finanziellen Gründen.
Und somit wird die Antwort zusätzlich erschwert durch eine Vielzahl hervorragender, aus mehreren Jahrzehnten stammender Mikroskope auf dem Gebrauchtmarkt, die auch Interessierten mit schmalem Geldbeutel einen Zugang zur Mikroskopie mit hochwertiger Technik ermöglichen. Doch die älteren Mikroskope wurden ursprünglich in Zeiten produziert und vermarktet, in denen es die heutigen Digitalkameras noch gar nicht gab und somit auch nicht keine Aufnahmemedien in den Abmessungen der heutigen Sensoren, sieht man von Vollformat-Systemkameras oder jenen, deren Sensoren so groß sind wie die früheren CCD-Videokameras. Deshalb gibt es dafür in den modularen Systemen der betreffenden Mikroskope nur sehr selten optimale Adapter. Selbstredend erhalten auch die ursprünglichen Bedienungsanleitungen diesbezüglich keine Empfehlungen.
Um das Wirrwarr komplett zu machen, gibt es in den Mikroskopsystemen eine unübersichtliche Vielzahl von Verbindung in Form von ineinander steckbaren Tuben, Ringschwalben mit unterschiedlichen Durchmessern und Verschraubungen. Bei astronomischen Teleskopen ist es völlig anders. Dort gilt der 2" Okularauszug als Standard und ferner gibt es das T2 Gewinde. Nicht so am Mikroskop, hier macht jeder Hersteller, was er will und variiert sogar in der eigenen Produktpalette bei unterschiedlichen Modellen. Was an einem Mikroskop funktioniert, ist am nächsten schon wieder unbrauchbar.
Das Steckmaß vieler Mikroskopokulare beträgt 23,2 mm. Hier findet man am ehesten eine Schnittstelle zwischen den Systemen, wenngleich bei hochwertigen Mikroskopen Okulare mit einem Steckmaß von 30 mm eingesetzt werden.

Kompakter Mikroskopadapter mit M42. Es gibt ähnliche mit T2 Anschluss. An beide Gewinde kann man jede Systemkamera adaptieren. Solche Adapter werden über die Hülsen der Okularaufnahme gesteckt und festgeklemmt. Das Okular / Projektiv wird dann innerhalb des Adapters in die Okularaufnahme gesteckt. Verschiedene Hersteller haben ähnliche Modelle produziert.
Der Optik-Handel hat verschiedene universelle Kamera/Mikroskop Adapter im Sortiment, die oft auf des 23,2 mm Steckmaß setzen, doch handelt es sich dabei um Produkte, die nicht für konkrete Mikroskope und konkrete Kameras hergestellt wurden, sondern um Kompromisse, die eine einigermaßen akzeptable Verbindung beider Komponenten zuwege bringen sollen. Mit Glück findet man dort eine gute Lösung, aber man sollte diesbezüglich keine hohen Erwartungen haben.
Am besten entscheidet man zuerst, mit welcher Sensorgröße fotografiert wird. Für viele Mikroskope gibt es Zubehör, um konventionelle Spiegelreflexkameras mit 35 mm Film optimal anzuschließen. Das Bild auf dem Film hat die Abmessungen 24 × 36 mm. Dies entspricht der Größe eines Vollformat-Sensors. Wer eine Kamera mit einem solchen nutzt, dürfte am leichtesten zum Ziel kommen.
Abseits davon sind Kompromisse an der Tagesordnung. Entweder fotografiert man doch etwas vom runden dunklen Bildrand mit oder die Adaptierung erlaubt nur das Fotografieren eines kleinen Ausschnitts aus dem Gesamtbild. Bei der hohen Auflösung der Aufnahmesensoren, die im Zuge des technischen Fortschritts noch gesteigert wird, ist es sinnvoller, eine Vignettierung in den Bildecken hinzunehmen als einen kleinen Ausschnitt. Das Beschneiden des digitalen Bildes in der Bildbearbeitung zur Vermeidung dunkler Bildecken ist weniger nachteilig als auf einen großen Bildbereich zu verzichten, der gar nicht erst mit aufgenommen wurde.
Hat man sich eingefuchst und tiefere Kenntnisse der Materie erworben, mag man immer noch eine bessere Lösung anstreben. In den Mikroskopieforen gibt es diverse Teilnehmer, die an ihren heimischen Drehbänken Teile herstellen und als selber Betroffene gut nachvollziehen können, worum es anderen Mikroskopieren geht. Wer dort höflich und sachlich korrekt auftritt, kann mit unkomplizierter Hilfe zu fairen Heimwerkerpreisen rechnen. Teil der Belohnung kann es sein, ein speziell angefertigtes Teil am Mikroskop zu fotografieren und im Forum als Lösung mit Dank an den freundlichen Helfer zu präsentieren.
Fotografieren mit Mikroskopen des 20. Jahrhunderts
Leitz Mikroskope
Leitz ist eine altbekannte Marke für Mikroskope. Es gibt legendäre Modelle, die in ihren Klassen und in ihrer Zeit zu den besten zählten und immer noch von vielen Mikroskopierern sehr geschätzt sind. Schon in den 1930er Jahren baute Leitz Mikroskope, die auch heute noch gut zum Fotografieren geeignet sind, wie das Ortholux. Man sollte die ursprünglichen Lichtquellen aller Mikroskope von Leitz mit elektrischer Beleuchtung gegen dimmbare LED austauschen. Heiß werdende Halogenbrenner und uralte Trafos mit Kabeln, deren Ummantelung spröde geworden sein kann, passen nicht mehr in die heutige Zeit.Legt man großen Wert auf das Fotografieren am Mikroskop, sollte man vor dem Kauf eines älteren Mikroskops von Leitz erwägen, ob Zeiss nicht die bessere Alternative wäre. Zeiss Trinokulare haben am Fototubus einen Schneckengang zur Höhenverstellung. Damit kann man einstellen, dass die Bilder im Okular und in der Kamera gleichzeitig scharf sind. Beim Trinokular von Leitz gibt es diese Möglichkeit nicht. Zudem gibt es von Zeiss sehr gute Kameraadapter.
![]() |
![]() |
DSLR an einem Leitz Trinokular. Das sieht irgendwie verboten aus, ist am Mikroskop aber ganz normal. Es ist wichtig, dass das alles wackelfrei und sicher zusammengefügt wird.

Die Adaptierung ist chaotisch durch die Anzahl der Teile. Unsere Suche nach Fotoadaptern von Leitz mit T2 Anschluss, der eine einfache Adaptierung einer x-beliebigen Systemkamera ermöglicht, blieb ergebnislos, aber es geht auch ganz anders, nämlich durch einen Verzicht auf den Adapter und die Verwendung einer Reprosäule.
Zeiss Mikroskop
Das Zeiss Standard ist in seinen verschiedenen Varianten das Zeiss Mikroskop für Hobby-Mikroskopierer schlechthin. Die Standard Mikroskope wurden jahrzehntelang gepflegt und weiterentwickelt. Man kann sie mit nahezu allem Zubehör ausstatten und die wesentlichen Komponenten früherer und älterer Mikroskope sind untereinander austauschbar.Auf dem Gebrauchtmarkt gibt es immer mehrere im Angebot. Teilweise stammen sie aus Bundeswehrbeständen und befinden sich im exzellenten Zustand. In den Mikroskopie-Foren kann man alles über sie erfragen und die passenden Antworten erhalten.
Es gibt zwei Trinokulare für dieses Modell. Eines mit einem Schieber, der zwischen reinem visuellen Beobachten und Fotografieren mit gleichzeitig möglicher visueller Beobachtung umschaltet. Entweder wird das Bild nur in die beiden Okulare geführt oder ein Strahlenteiler leitet 20 % des Lichts in die Okulare und 80 % zur Kamera.
Die einfachere Variante des Trinokulars hat keinen Umschalter, sondern teilt das Licht immer in 20 % für die Okulare und 80 % für die Kamera auf.
![]() 1. Wie kommt die Kamera an den Fototubus des Trinokulars? |
![]() 2. Zum Adaptieren braucht man einen T2 Adapter, zwei Zeiss Tuben (einer mit Optik) und ein Kpl W 10x/18 Okular |
![]() 3. Alles zusammengesteckt |
Von Zeiss gibt es alle möglichen Adapter, die man sicher und solide an den Fototubus montiert, in dem ein austauschbares Projektiv steckt. Neue Mikroskope nebst Zubehör von Zeiss sind relativ teuer und auch auf dem Gebrauchtmarkt sind solche speziellen Adapter eher rar und somit sehr gefragt. Wie oben dargestellt, muss es aber nicht bis zum Ende Zeiss sein. Im obigen Vergleich sieht man, dass ein APS-C Sensor sehr gut mit dem Universal-Mikroskopadapter belichtet wird, sofern darin das Zeiss Kpl W 10x/18 Okular steckt. |
Fazit
Das Mikroskop bietet reizvolle Motive, die zur Fotografie einladen. Doch ist der optimale Anschluss einer Kamera oft kompliziert. Nicht immer gelingt er zufriedenstellend. Im Handel gibt es exzellente Lösungen zum Verbinden von Mikroskopen mit Kameras, doch sind sie meistens recht teuer. Viele Hobby-Mikroskopierer erwerben bei stärkerem Interesse an der Beschäftigung hochwertige Mikroskope auf dem Gebrauchtmarkt und suchen sich im Laufe der Zeit die gewünschten Komponenten. Die Universaladapter des Optik-Handels sind nicht immer optimal, aber durchaus brauchbar.Alternative
Es geht auch einfacher. Weiterlesen: Reprosäule und Mikroskop© Thomas Gade | photoinfos.com | ISSN 3054-4769 (Online). Unsere Texte und Bilder sind urheberrechtlich geschützt. Jede Nutzung ist nur mit schriftlicher Erlaubnis des Verfassers gestattet und stets honorarpflichtig.













